
インプラントImplant
歯を失って悩んでいる方に
人は永久歯を失うと、残念ながら二度と生え変わってきません。
そのため、今までは虫歯や事故などで歯を失ってしまった場合、周りの健康な歯を削ってブリッジにしたり、「入れ歯」などを用いて、抜けた歯を補う方法しかありませんでした。
しかし、入れ歯だと、固いものがうまく噛めない、発音がおかしい、また長く使っている間に合わなくなってガタついてきたりする場合があります。
このように歯を失ってお悩みの方に、新しい治療法「インプラント」治療をご紹介いたします。
そのため、今までは虫歯や事故などで歯を失ってしまった場合、周りの健康な歯を削ってブリッジにしたり、「入れ歯」などを用いて、抜けた歯を補う方法しかありませんでした。
しかし、入れ歯だと、固いものがうまく噛めない、発音がおかしい、また長く使っている間に合わなくなってガタついてきたりする場合があります。
このように歯を失ってお悩みの方に、新しい治療法「インプラント」治療をご紹介いたします。
インプラントとは

失ってしまった歯根に代わって、人工の歯根を顎(あご)の骨に埋め込み、骨にしっかり固定された段階で、人工の歯をかぶせる治療法です。取り外しをしたり、ブリッジのように欠損部の両隣の歯を削る必要もありません。インプラントは、従来の入れ歯のようにプラスチックの床、残っている歯に引っかけ取り外しをしたり、ブリッジのように欠損部の両隣の歯を削る必要もありません。インプラントをすることによりそのような煩わしいことをしなくても自然の自分の歯と同じように食べたり話したり、歌ったりできます。見た目も自然で自分の歯のように噛めるようになります。
むし歯の治療や、失った歯を補ったりといった、いわゆる「歯医者さんでの治療」です。
しかし、一度切削して詰め物やかぶせ物をした部位には境界部の二次的なむし歯のリスクが発生します。神経を取った歯には根尖病変(根の先端の周囲の骨が化膿すること)のリスクが発生します。
しかし、一度切削して詰め物やかぶせ物をした部位には境界部の二次的なむし歯のリスクが発生します。神経を取った歯には根尖病変(根の先端の周囲の骨が化膿すること)のリスクが発生します。

また、入れ歯になると支えになる(バネがかかる)歯に過剰な負担がかかって更なる歯の喪失につながります。ですから治療介入する際はこれらのデメリットをふまえた上で、それでも尚必要と判断された場合に、少しでも再治療せずにすむような配慮のもとで行われるべきと考えています。
その際まず大事なのが、基礎となる部分である根管治療(神経を取った後の根っこの治療)や、次項に示す歯周治療(歯槽膿漏の治療)であり、当院では特に力を入れています。
その際まず大事なのが、基礎となる部分である根管治療(神経を取った後の根っこの治療)や、次項に示す歯周治療(歯槽膿漏の治療)であり、当院では特に力を入れています。
- むし歯治療にあたってはできる限り削る量を最小限にすること
- ご自身の歯を残すこと
これらをモットーに治療を行っています。
治療の際には治療内容の説明をしっかりした上で治療に入らせていただきます。
インプラント治療の流れ
-
-
カウンセリング・検査・治療計画
-
患者さんにインプラント治療の内容や、メリット・デメリットなどの説明をいたします。
また、患者さんの悩みや希望をお聞きして、治療計画に反映させます。
安全に治療するために、歯科用CTスキャンで顎の骨の厚みや神経・血管の場所などの検査をします。
カウンセリングと術前検査の結果をもとに治療計画を立て、患者さんに提案させていただきます。
-
-
-
1次手術
-
麻酔をして歯ぐきを切開し、顎の骨の中にインプラントを埋め込む手術を行います。
埋め込んだインプラントの上に歯ぐきを被せて縫合します。
-
-
-
治癒期間
-
1次手術後、約1週間後に抜糸して、傷が治って骨とインプラントがしっかりと結合するのを待ちます。
この期間は、下の顎で3ヶ月程度、上の顎だと半年以上かかります。
-
-
-
2次手術
-
インプラントと骨がしっかり結合したら、歯ぐきを切開し人工歯とインプラントを連結するパーツを取り付け歯ぐきが治るのを待ちます。
歯ぐきが治ったら、作っておいた人工歯を装着します。
-
-
-
定期検診
-
インプラントの手術が終わったら、定期的なメインテナンスを行います。
メインテナンスでは、インプラントの状態、噛み合わせ、お口の中の清掃状態などをチェックして、落とし切れていない汚れや歯石の除去をします。
-
インプラント施術例
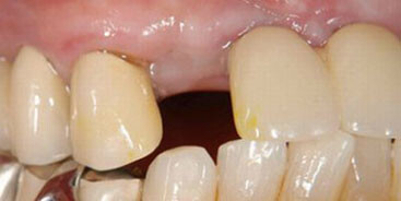
インプラント 施術前 Aさん

歯周病により、前歯を失った患者さんです。
審美的希望により、インプラントになりました。
審美的希望により、インプラントになりました。
インプラント 施術後 Aさん

抜歯後 5ヶ月できれいになりました。
保険外治療料金表
- MB(メタルボンド)
- ¥80,000
- オールセラミック
- ¥90,000
- エンプレス
- ¥100,000
- アートグラス(クラウン)
- ¥30,000
- アートグラス(インレー)
- ¥15,000
- ゴールド(クラウン)
- ¥70,000
- ゴールド(インレー)
- ¥40,000
- ホワイトニング(薬液込み)
- 上顎・下顎各¥20,000
- マウスピース(矯正用)
- (院内セットごとに)¥2,000
- スプリント 院外
- ¥4,000
- 金属床 上顎・下顎
- 各¥150,000
- 磁石(義歯用)
- 1個 ¥30,000
- インプラント(MB込み)
- ¥300,000
